Künstliche Intelligenz erkennt Herzfehler bei Neugeborenen

Ein bestimmter schwerer Herzfehler bei Neugeborenen lässt sich im Ultraschall-Bild erkennen: mit einem speziellen Computerprogramm.

, 13. März 2024 um 14:29
image
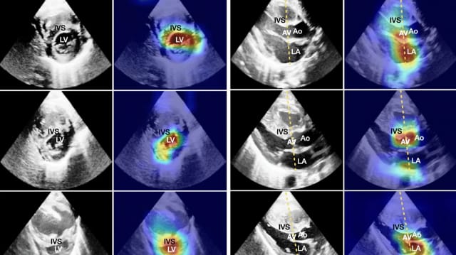
In diesen Herz-Ultraschall-Bilder sind auffällige Stellen markiert: Die oberen Bilder zeigen an, dass keine pulomonale Hypertonie vorliegt, in der mittleren Reihe ist eine milde Form vorhanden, und in der unteren Reihe handelt es sich um eine schwere Erkrankung. So können sich Ärztinnen und Ärzte genau anschauen, welche Stellen oder Eigenschaften des Herzens und seiner Gefässe dem Computer-Modell auffällig erschienen. | International Journal of Computer Vision
Wenn sich mit dem ersten Schrei eines Neugeborenen die Lunge entfaltet, ist das der Übergang zum Leben ausserhalb des Mutterleibs. Bei kranken oder frühgeborenen Babys klappt das nicht immer.
Es kann eine sogenannte pulmonale Hypertonie auftreten – eine schwere Erkrankung, bei der die Lungenarterien nach der Geburt verengt bleiben oder sich in den ersten Tagen oder Wochen nach der Geburt wieder verschliessen.
Der Blutstrom zu den Lungen ist dadurch eingeschränkt und die Sauerstoffsättigung im Blut reduziert.

Computer hilft bei der Diagnose

Eine pulmonale Hypertonie korrekt zu diagnostizieren, ist schwierig: «Nur erfahrene Kinderkardiologinnen und -kardiologen sind dazu in der Lage», schreibt die ETH Zürich. Ein Team der Bundes-Hochschule und der Kuno-Klinik St. Hedwig in Regensburg haben nun ein Computermodell entwickelt, der diesen gefährlichen Herzfehler bei Neugeborenen erkennen kann.

Mit 192 Babys trainiert

Trainiert wurde das Computermodell mit Videoaufnahmen von Herz-Ultraschalluntersuchungen bei 192 Neugeborenen. Der Datensatz enthielt neben den Bildern des schlagenden Herzens aus verschiedenen Blickwinkeln jeweils auch die von erfahrenen Kinderkardiologen gestellte Diagnose: Ist eine pulmonale Hypertonie vorhanden oder nicht? Hinzu kam eine Einschätzung zum Schweregrad der Erkrankung.

80 bis 90 Prozent richtig

Wie gut der Algorithmus die Bilder interpretieren kann, wurde danach mit Ultraschall-Bildern von 78 weiteren Neugeborenen überprüft. Dem Modell gelang es in rund 80 bis 90 Prozent der Fälle, die richtige Diagnose vorzuschlagen sowie in rund 65 bis 85 Prozent der Fälle den korrekten Schweregrad der Erkrankung zu bestimmen.
Damit so ein Modell im medizinischen Bereich eingesetzt werden kann, müssten die Ärztinnen und Ärzte nachvollziehen können, aufgrund welcher Kriterien das Modell seine Entscheide trifft, sagt Julia Vogt, Professorin für medizinische Datenwissenschaft an der ETH Zürich.

Auffälliges markiert

Ihr Modell markiert deshalb in den Ultraschallbildern diejenigen Bereiche, aufgrund derer es seine Einteilung getroffen hat.
Ärztinnen und Ärzte können sich also genau anschauen, welche Stellen oder Eigenschaften des Herzens und seiner Gefässe dem Modell auffällig erschienen.
Das Modell gibt allerdings nur eine erste Einschätzung dazu geben, ob ein Risiko besteht und ein Spezialist oder eine Spezialistin beigezogen werden sollte. Letztlich entscheidet aber immer die Ärztin oder der Arzt.
  • Zum Thema: KI überwacht das Herz – über den Klang der Stimme

  • Kardiologie
  • ETH
  • künstliche intelligenz
  • Forschung
Artikel teilen

Loading

Kommentar

Mehr zum Thema

image

Kispi-Infektiologe gewinnt SSI Award 2025

Für seine internationale Studie zu Mycoplasma pneumoniae erhielt Patrick M. Meyer Sauteur von der Schweizerischen Gesellschaft für Infektiologie den ersten Preis.

image

Herzschrittmacher: Schweizer Spitäler in der Preisfalle

Eine NZZ-Recherche bestätigt enorme Preisunterschiede bei Implantaten: Für denselben Herzschrittmacher bezahlen Schweizer Spitäler teils das Fünffache deutscher Kliniken. Der Preisgraben wirft Fragen zur Einkaufspolitik auf.

image

Dänischer Konzern kauft Inselspital-Spinoff

Die Abacus Medicine Group übernimmt Swiss Cardio Technologies, eine Gründung von Berner Herzchirurgie-Spezialisten. Mitgründer Thierry Carrel spricht von einem wichtigen Wachstumsschritt.

image

Studie: Ein Viertel der Komapatienten versteht, wenn man mit ihnen spricht

Bewusstlos, aber nicht unbewusst: Menschen mit schweren Hirnverletzungen haben wohl häufiger noch kognitive Fähigkeiten als bisher gedacht.

image

KI ahnt Herzrhythmus-Störungen mehrere Tage im Voraus

Französische Forscher haben ein Künstliche-Intelligenz-Programm entwickelt, das lebensbedrohliche Herzrhythmusstörungen schon Tage vor dem Auftreten erkennt. In Tests lag die Trefferquote bei zwei Dritteln.

image

Diversity im OP: Ein Frauenanteil von 35 Prozent rettet Leben

Eine weitere Studie zeigt, dass gemischte Anästhesie- und Chirurgie-Teams gut sind für die Qualität.

Vom gleichen Autor

image

Spitex Zürich erhält einen neuen CEO

Der Geschäftsleiter der Regio-Spitex Limmattal wird der neue Chef der Spitex Zürich. Der bisherige CEO, Markus Reck, geht in Pension.

image

Datenleck bei Hirslanden Zürich: Es war menschliches Fehlverhalten - kein IT-Problem

Ein Hirslanden-Belegarzt gab seine Login-Daten zu den Patientenakten weiter. Die Zugriffsrechte von Belegärzten seien aber kein grundsätzliches Problem, betont der Hirslanden-Sprecher.

image

Lindenhof gibt Spitalstandort Engeried auf

Grosser Umbau in der Berner Lindenhofgruppe: Im Engeried gibt es künftig nur noch ambulante Radiologie und Arztpraxen. Der Rest wird an den Lindenhof und an den Sonnenhof verlegt.