ETH-Forschende züchten künstliches Gehirn-Gewebe

Mit den sogenannten Organoiden lassen sich Nervenerkrankungen erforschen und vielleicht Transplantations-Organe züchten. «Stark» daran interessiert ist die Pharma.

, 11. Oktober 2022 um 07:15
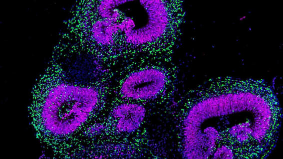
image
Gehirn-​Organoid aus menschlichen Stammzellen unter dem Fluoreszenzmikroskop. | Sanchís Calleja, A. Jain, P. Wahle, ETH Zürich
Das menschliche Gehirn ist das wohl komplexeste Organ in der Natur – es beschäftigt die Forschung seit langem. Allerdings ist die Erforschung des Gehirns, insbesondere welche Gene und molekularen Schalter dessen Entwicklung regulieren und lenken, alles andere als einfach. Bisher haben Wissenschaftlerinnen und Wissenschaftler Tiermodelle, vor allem Mäuse, für ihre Arbeit verwendet. Die Krux: Die Erkenntnisse lassen sich nicht eins zu eins auf den Menschen übertragen. Einerseits, weil das Mäusegehirn anders aufgebaut ist und ihm andererseits für das Gehirn des Menschen typische gefurchte Oberfläche fehlt. Auch Zellkulturen waren bislang nur bedingt geeignet.
Um die Entwicklung des menschlichen Gehirns zu erforschen, hat eine Gruppe von Forschenden um Barbara Treutlein, ETH-Professorin am Departement Biosysteme in Basel, einen neuen Weg beschritten.

Mit dem richtigen Reiz

Sie züchtet und nutzt sogannte Organoide. Dabei handelt es sich um millimetergrosse dreidimensionale Gewebeklümpchen, die sich aus sogenannten pluripotenten Stammzellen heranziehen lassen. Pluripotente Stammzellen sind Stammzellen, die zwei oder mehrere unterschiedlich differenzierte Zellen bilden können.
Erhalten diese Stammzellen den richtigen Reiz (Stimulus), können Forschende sie so programmieren, dass sie zu jeder beliebigen Körperzelle werden, also auch zu Nervenzellen.
Mehr noch: Werden die Stammzellen in einem kleinen Gewebeball aggregiert und dann dem entsprechenden Stimulus ausgesetzt, können sich diese sogar selbstorganisieren und ein dreidimensionales Gehirn-Organoid mit einer komplexen Gewebearchitektur formieren.

«Fingerabdrücke» von Zellen

In einer neuen Studie, die soeben in der Fachzeitschrift «Nature» erschienen ist, haben Treutlein und ihre Team tausende von einzelnen Zellen eines Gehirn-Organoids zu verschiedenen Zeitpunkten sehr detailliert molekulargenetisch charakterisiert.
image
Karte eines Gehirnorganoids: Die Farben der als Kreise dargestellten Zellen deuten unterschiedliche Zelltypen an. Rechts: Regulationsnetzwerk von Transkriptionsfaktor-​​Genen, das die Entwicklung eines Gehirnorganoids kontrolliert. | Grafik: Barbara Treutlein, ETH Zürich)





Diese Daten konnten sie in einer Art Landkarte darstellen, auf welcher der molekulare Fingerabdruck jeder Zelle innerhalb des Organoids kartographiert ist. «Solche Organoide kann man wirklich brauchen, um menschliche Entwicklungsbiologie zu erforschen», wird Treutlein in einem Communiqué der ETH-Zürich zitiert.

Autismus: die Rolle von Genen

Die Forschung an Organoiden aus menschlichem Zellmaterial hat laut ETH den Vorteil, dass die Erkenntnisse auf den Menschen übertragbar sind. Sie lassen sich nicht nur dafür nutzen, um grundlegende Entwicklungsbiologie zu erforschen, sondern auch die Rolle von Genen in Krankheiten oder Entwicklungsstörungen des Gehirns.
So sind Treutlein und ihre Mitarbeitenden daran, die genetische Ursache von Autismus oder Heterotopia, bei der sich Nervenzellen nicht an der anatomisch üblichen Lokalisation in der Grosshirnrinde befinden, anhand von solchen Organoiden zu untersuchen.

Organteile züchten?

Organoide können auch für das Wirkstoff-Screening genutzt werden, möglicherweise auch für die Zucht von transplantierbaren Organen oder Organteilen. Die Pharmabranche ist an solchen Zellkulturen stark interessiert, bestätigt Treutlein.
Allerdings ist die Aufzucht von Organoiden zeit- und arbeitsintensiv. Zudem entwickelt sich jedes Zellklümpchen individuell und nicht standardisiert. Treutlein arbeitet mit ihrem Team deshalb daran, die Organoide zu verbessern und den Herstellungsprozess zu automatisieren.

Human Cell Atlas

Die Erforschung und Kartierung der Gehirn-Organoide ist eingebettet in den «Human Developmental Cell Atlas». Mit dem Human Cell Atlas wollen Forschende weltweit alle Zellentypen des menschlichen Körpers kartieren sowie Daten darüber zusammentragen, wann in welchen Zellen welche Gene aktiv sind und welche Gene in Krankheiten involviert sein könnten.
Die Leiterin des Human Cell Atlas ist MIT-Biologieprofessorin Aviv Regev, die 2021 den Ehrendoktortitel von der ETH Zürich erhalten hat. ETH-Professorin Barbara Treutlein co-koordiniert den Teilbereich «Organoid Cell Atlas». Dessen Ziel ist es, alle Zellstadien, die in Zellkultur hergestellt werden können, zu kartieren und mit den ursprünglichen Zellen des menschlichen Körpers zu vergleichen.

  • forschung
  • eth
  • pharma
Artikel teilen

Loading

Kommentar

Mehr zum Thema

image

ETH Zürich: Mikroroboter bringt Medikamente direkt ins Gehirn

ETH-Forschende haben einen magnetisch steuerbaren Mikroroboter entwickelt, der auch in komplexe Gefässstrukturen vordringt. Das System bringt Medikamente präzise an den Zielort – und löst sich danach auf.

image

mRNA-Impfstoffe der nächsten Generation: gleiche Wirkung bei minimaler Dosis

Ein Team des MIT hat Lipid-Nanopartikel konstruiert, die mRNA bis zu hundertmal effizienter in Zellen einschleusen. Das könnte mRNA-Impfstoffe gegen Influenza oder Covid-19 günstiger, sicherer und flexibler machen.

image

BAG senkt Preise von 300 Medikamenten

Bei rund der Hälfte der überprüften Medikamente greift das Bundesamt für Gesundheit durch: Die Preise sinken im Schnitt um zwölf Prozent, was Einsparungen von rund 65 Millionen Franken bringen soll.

image

Swiss Bridge Award 2025 geht an Krebsforschende aus Zürich und Berlin

Andreas Moor (ETH Zürich) und Inmaculada Martínez Reyes (DKFZ/Charité Berlin) erhalten je 250’000 Franken für ihre Arbeiten an zielgerichteten Krebstherapien – von «smarten» Proteinmolekülen bis zu personalisierten Immunzellen.

image

Apotheken dürfen mehr von ihrer Arbeit verrechnen

Der neue Tarifvertrag für die Apotheken regelt, wie viel die Verblisterung von Medikamenten und die Beratung künftig kosten darf.

image

USZ, CHUV und USB gehören zu Europas forschungsstärksten Spitälern

Seit der Jahrtausendwende haben sich die Patentanmeldungen europäischer Kliniken verdreifacht. Schweizer Häuser spielen vorne mit.

Vom gleichen Autor

image

Kinderspital verschärft seinen Ton in Sachen Rad-WM

Das Kinderspital ist grundsätzlich verhandlungsbereit. Gibt es keine Änderungen will der Stiftungsratspräsident den Rekurs weiterziehen. Damit droht der Rad-WM das Aus.

image

Das WEF rechnet mit Umwälzungen in einem Viertel aller Jobs

Innerhalb von fünf Jahren sollen 69 Millionen neue Jobs in den Bereichen Gesundheit, Medien oder Bildung entstehen – aber 83 Millionen sollen verschwinden.

image

Das Kantonsspital Obwalden soll eine Tochter der Luks Gruppe werden

Das Kantonsspital Obwalden und die Luks Gruppe streben einen Spitalverbund an. Mit einer Absichtserklärung wurden die Rahmenbedingungen für eine künftige Verbundlösung geschaffen.