Tiroler Studie: Covid-19 kann die Lunge anhaltend verändern

Männlich, über 60 Jahr alt, kritischer Covid-Verlauf mit Beatmung: Diese Faktoren sorgen ein Jahr später immer noch für sichtbare Veränderungen des Lungengewebes. Das zeigt eine neue Studie.

, 11. April 2022 um 12:55
image
  • studie
  • österreich
  • coronavirus
Eine aktuelle Ein-Jahres-Folgestudie des Teams um den Tiroler Radiologen Gerlig Widmann liefert neue Erkenntnisse zum Verlauf von Lungenveränderungen in der Computertomographie (CT) nach Covid-19:
«In unserer viergeteilten Kohorte*  betreffend den Schweregrad des initialen Verlaufes waren bei mehr als der Hälfte der TeilnehmerInnen auch noch zwölf Monate nach Krankenhausentlassung subtile Veränderungen im CT nachweisbar», wird Radiologin und Erstautorin Anna Luger in der Medienmitteilung zitiert. «Auch wenn eine Mehrheit dieses Anteils zumindest schwer erkrankt, sind wir von diesem Ergebnis doch ein wenig überrascht. Der über 60-jährige männliche Patient mit kritischem Krankheitsverlauf trägt unseren Untersuchungen zufolge jedenfalls das grösste Risiko, auch ein Jahr nach Covid-19 noch Lungenveränderungen im CT zu zeigen.» 
Insgesamt wurden vier CT-Verlaufskontrollen der Lunge durchgeführt, von anfangs 142 Probandinnen und Probanden wurden nach einem Jahr noch 91 Teilnehmerinnen und Teilnehmer in die Studie eingeschlossen (siehe CTs am Ende des Textes). 

Milchglas-Trübungen und netzartige Verdichtungen

Im Detail zeigten 34 Prozent der TeilnehmerInnen oberflächennahe netzartige Verdichtungen der Lunge, geringe Milchglas-Trübungen oder beides, bei 20 Prozent der Teilnehmerinnen und Teilnehmer waren ausgedehnte Milchglas-Trübungen, oberflächennahe netzartige Verdichtungen, Bronchialerweiterungen und mikrozystische Veränderungen feststellbar, die eventuell auf Vernarbungsprozesse hindeuten.
«Aus radiologischer Sicht lässt sich noch nicht abschätzen, wie sich diese strukturellen Lungenveränderungen zeitlich weiter verhalten», so der Leiter der Radiologie in der interdisziplinären Studiengruppe, Gerlig Widmann.
Drei Szenarien seien vorstellbar:
  • Die Veränderungen bilden sich langsam vollständig zurück,
  • die Veränderungen halten an und es entwickeln sich stabile Vernarbungen,
  • oder das Lungengewebe wird zunehmend fibrotisch (Bindegewebsvermehrung) und es kommt begleitend zu kontinuierlich zunehmenden klinischen Symptomen.
«In jedem Fall», so Widmann, «werden wir den Verlauf gemeinsam mit unseren klinischen Partnern weiter wissenschaftlich begleiten.»
Aus Langzeitstudien zur Sars-Pandemie im Jahr 2003 mit Sars-CoV-1 sei bekannt, dass im CT auch noch 15 Jahre nach Erkrankung Veränderungen des Lungengewebes festzustellen sind.
Angesichts der gesundheitspolitischen Relevanz einer Post-Covid Erkrankung zeigen die bisherigen Daten aus Innsbruck mit der ersten systematisch wissenschaftlich untersuchten Covid-19-Kohorte (siehe Text unten) in Österreich, dass eine langfristige klinische und radiologische Nachsorge von Patientinnen und Patienten mit anhaltenden Lungenveränderungen im CT notwendig ist, um mehr über den klinischen Verlauf und potentielle Folgeerscheinungen herauszufinden.

Die Studie wurde kürzlich im Fachjournal «Radiology» veröffentlicht.

*Kohorte / Einteilungen

  1. Milder Verlauf mit ambulanter Behandlung (21 Prozent),
  2. moderater Verlauf mit stationärer Behandlung ohne Sauerstoffgabe (25 Prozent),
  3. schwerer Verlauf mit stationärer Behandlung und Sauerstoffgabe (25 Prozent),
  4. kritischer Verlauf mit intensivmedizinischer Behandlung und Beatmung (29 Prozent).

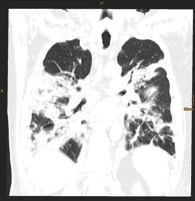
CT Thorax im Vergleich:

(Sie können das Bild mit dem weissen Pfeil in der Mitte wechseln)
image
CT Thorax eines Teilnehmers während des stationären Aufenthalts. | Univ.-Klinik für Radiologie Innsbruck

Zu den Personen:

Der Innsbrucker Gerlig Widmann hat sich nach Abschluss des Medizinstudiums an der Medizinischen Universität Innsbruck habilitiert und ein Studium der Gesundheitswissenschaften absolviert. Der Bereichsleiter der Sektion Computertomographie und geschäftsführende Oberarzt an der Univ.-Klinik für Radiologie leitet die klinischen Schwerpunkte Kopf-Hals Radiologie, Thorax Radiologie und Onkologische Radiologie und forscht zu Künstlicher Intelligenz basierter Texturanalyse von Lungenerkrankungen, Radiomics und Low dose imaging.
Die gebürtige Münchnerin Anna Luger hat an der Medizinischen Universität Innsbruck Medizin studiert. Die Forschungsschwerpunkte der Fachärztin für Radiologie und Expertin für Thorax Radiologie liegen in den Bereichen Lungeninfektionen, COPD und interstitielle Lungenerkrankungen. 
Artikel teilen

Loading

Comment

Mehr zum Thema

image

Spitäler 2025 und 2026: Bessere Margen – aber grosse Tarif-Fragezeichen

Die Finanzchefs der Schweizer Spitäler erwarten fürs Erste eine etwas bessere Rentabilität. Zugleich sorgt das neue Tarifsystem für Unsicherheit. Die Erwartungen reichen von Mehreinnahmen bis zu spürbaren Einbussen.

image

Taurin taugt wohl doch nicht als «Lebenselixir»

Vor zwei Jahren galt Taurin als mögliches Anti-Aging-Wunder. Nun bremsen Forschende aus Baltimore die Erwartungen.

image

Medikament gegen Diabetes reduziert Rückfälle von Nierensteinen

Eine aktuelle Studie zeigt, dass Empagliflozin, ein Medikament zur Behandlung von Typ-2-Diabetes, das Risiko für Nierenstein-Rückfälle bei nicht-diabetischen Patientinnen erheblich senkt.

image

Tropeninstitut: Schlechte Nachricht für Tuberkulosepatienten

Eine Studie vom Swiss TPH zeigt, dass sich Resistenzen gegen das kürzlich von der WHO empfohlene neue Behandlungsschema für MDR-TB zwischen Patienten ausbreitet.

image

Luzern will wieder eine Long-Covid-Anlaufstelle

Die Sprechstunde am Luzerner Kantonsspital wurde im Frühling geschlossen. Nun fordert die Gesundheitskommission ein überkantonales Angebot.

image

Bundesrat zieht Lehren aus der Pandemie – zumal für Pflegeheime

Bei Epidemien sollen alte Menschen künftig stärker selber entscheiden können. Aber auch Jugendliche sollen psychisch besser betreut werden.

Vom gleichen Autor

image

Kinderspital verschärft seinen Ton in Sachen Rad-WM

Das Kinderspital ist grundsätzlich verhandlungsbereit. Gibt es keine Änderungen will der Stiftungsratspräsident den Rekurs weiterziehen. Damit droht der Rad-WM das Aus.

image

Das WEF rechnet mit Umwälzungen in einem Viertel aller Jobs

Innerhalb von fünf Jahren sollen 69 Millionen neue Jobs in den Bereichen Gesundheit, Medien oder Bildung entstehen – aber 83 Millionen sollen verschwinden.

image

Das Kantonsspital Obwalden soll eine Tochter der Luks Gruppe werden

Das Kantonsspital Obwalden und die Luks Gruppe streben einen Spitalverbund an. Mit einer Absichtserklärung wurden die Rahmenbedingungen für eine künftige Verbundlösung geschaffen.